1124 Budapest, Fürj utca 27.

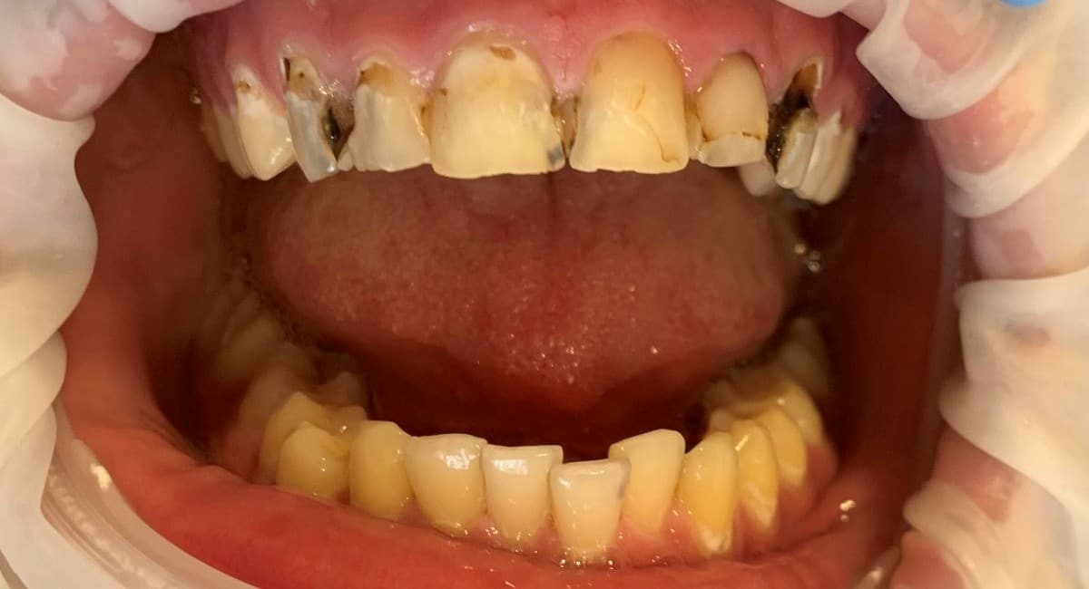
Fiatal páciensem úgy érkezett, hogy mindössze egy hetet van még Magyarországon, utána utazik külföldre dolgozni, és mivel vendéglátásban emberekkel kell dolgoznia, szeretne szebb mosolyt. Így egyetlen időpont alatt tömtem be 7 fogát. A képek magukért beszélnek, már nem jelent gondot a mosolygás. 🙂
Dr. Dalos Magdolna egyéni vállalkozó – minden jog fenntartva © 2022 – készítette a full funnel marketing kft.
Iratkozz fel e-mail listánkra és
10%-os ajándék kupont adunk első fogászati kezelésedhez.